Accessible Version
Healthy Living Dentistry
Dr. Roy Kim
Healthy Living Dentistry
Dr. Roy Kim
Request an Appointment
Like us on Facebook
Visit us on Yelp
Leave a Google Review
Instagram
(949) 830-2003
General and Aesthetic Dentistry
26720 Towne Centre Dr Suite B, Foothill Ranch, CA 92610
Menu
Call
Book Now
Map
Home
About
Our Team
Technology
Office Tour
Services
View All
Dental Crowns and Bridges
All-on-Four Implant Dentures
Teeth Whitening
Your First Visit
Dental Implants
Cosmetic Dentistry
Invisalign Clear Braces
General Dentistry
Dentures and Partial Dentures
Emergency Dental Care
Digital X-Rays
Root Canals
Tooth-Colored Fillings
Smile Gallery
Testimonials
Patient Info
View Patient Info
Forms
Financial
FAQs
Blog
Products We Love
Contact
Healthy Living Dentistry
>
Smile Gallery
>
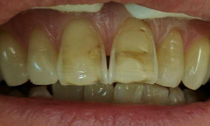
Esthetic Crowns
Esthetic Crowns
Return to Smile Gallery
Previous
Next
Related Services:
Cosmetic Dentistry
Click image to see a larger picture
Before
After
Not finding what you need?
Contact Us
If you have difficulty using our website, please
email us
or call us at
(949) 830-2003
View the
ADA Accessibility Statement
Turn on ADA Views
OK!
×
×
Contact Us Today
Give Us A Call
Healthy Living Dentistry -
(949) 830-2003
Send Us an Email
Request an Appointment
Contact Us
Ready to Schedule an Appointment?
Book Online
Have Questions? Contact Us:
Required Field
Your Name:
Phone:
Email:
Are you a new patient?:
Are you a?
New Patient
Current Patient
How would you like us to contact you?
Please choose
Email
Call
How did you hear about us?
Please choose
I'm an existing patient
Google/Bing
Mailer
Word of mouth
Social media
Other
Who Referred You?:
Appointment Preferences
Monday
Tuesday
Wednesday
Thursday
Friday
Saturday
Your Message:
This site is protected by reCAPTCHA and the Google
Privacy Policy
and
Terms of Service
apply.
Sending...
×
This Patient's Experience
Loading Testimonial...
Loading Case...